「このまま放っておいたら、歯が全部ダメになるかも…」その不安、ひとりで抱えていませんか?
朝、うがいをしたときの出血。グラつきを感じる歯。ふとした瞬間に自分の口臭が気になる。
「なんだかおかしいかも」と思いながらも、仕事や家事に追われて後回しにしてしまう——そんな毎日を送っていませんか?
一番怖いのは、“少しの異変”に慣れてしまうことです。
歯が抜けてからでは、元には戻せません。でも、今ならまだ“守れる選択肢”があるかもしれないのです。
私もかつて、歯医者に行くのが怖かった一人でした

昔、定期検診で言われた「歯ぐきが下がってきていますね」という何気ない一言。
そのときは深く考えずに過ごしていたけれど、ある日、親しい友人が「奥歯が抜けた」と話しているのを聞いて、急に現実味を帯びてきました。
「もしかして、私もそうなるかも…」
そう思ったときには、歯磨きのたびに出血があり、前歯が微かに揺れているような気がしていました。
けれど、いざ歯科医院を探そうとしても、どこに行けばいいのかわからない。口コミや評判を調べては、「ここはどうかな…」と画面を閉じる毎日。
怖かったのは、治療じゃなくて、“何をされるかわからないこと”だったのかもしれません。だから私は、ずっと決断を先送りにしていました。
「どうせ高額な治療を勧められる」そんな思い込みが、あなたの一歩を止めている

不安を感じながらも歯医者に行けなかった本当の理由は、
「行ったら最後、高額な自費治療をゴリ押しされるんじゃないか」「専門用語ばかりで説明されても、よくわからないまま始まってしまいそう」——そんな想像が頭をよぎっていたから。
実際、以前通った医院では、「抜歯しかないですね」と断言され、質問する間もなく治療方針が決められてしまった経験がありました。
あのときの、置いていかれるような感覚。納得できないまま椅子に座っていた自分を、ずっと責めていました。
だからこそ、「次こそは後悔したくない」。けれど慎重になるあまり、気づけば何年も経ってしまっていたのです。
“納得してから始められる”治療があるとしたら、どうでしょうか?
歯科治療というと、「診察してすぐ治療に入るもの」というイメージがあるかもしれません。
でも実は、あなたの不安を整理し、治療の必要性を“自分の目で確かめてから”決められる方法があります。
それが、検査とカウンセリングを重視するスタイルです。
細菌検査、口臭測定、かみ合わせのスキャン、マイクロスコープによる可視化など、今の状態を多角的に診て、どこにどんなリスクがあるかを“見える化”してくれる。
しかもその過程で、あなたの不安や希望も一つひとつ丁寧に聞き取ってくれるから、「ただの説明」ではなく「信頼できる対話」が生まれます。
何をされるかわからない不安ではなく、「自分の意思で選べる安心感」。それこそが、行動のブレーキを外すカギだったのです。
カウンセリングで分かる、あなたの“歯と心の状態”

このカウンセリングでは、ただ話を聞くだけではありません。
あなたが感じている不安や違和感をもとに、口腔内を総合的にチェックし、治療の必要性と方向性を明確にしていきます。
たとえば、専用の口臭測定器「オーラルクロマ」でニオイの原因を数値化。
さらに、歯周病菌の種類を調べる「位相差顕微鏡」や「PCR検査」、かみ合わせを可視化するTスキャン。
骨の状態まで確認できるレントゲン撮影までを実施。目に見えないリスクを、視覚化して教えてくれます。
そして、患者さんと同じ目線で丁寧に説明し、「今後どうするか」を一緒に考えてくれるのが最大の特徴です。
治療の押しつけは一切なく、あくまでも“選べるカウンセリング”。
この90分が、不安を整理し、「一歩を踏み出す準備」を整える時間になるのです。
「何をすべきか」が見えると、ここまで気持ちは軽くなる

歯のトラブルが不安なのは、「原因がわからない」「どうすればいいのか見えない」から。
でも、カウンセリングで自分の状態が数字や画像で見えると、不思議なほど気持ちが前向きになります。
「これは今すぐ治療が必要な部分」
「ここは経過観察でいい」
「このケアを続ければ、改善が見込める」
そんなふうに道筋がはっきりすると、迷いや不安が少しずつ消えていきます。やるべきことが“決まる”だけで、心の重さが軽くなります。
先送りしていた不安にようやく向き合えたとき、「もっと早く相談すればよかった」と思えるかもしれません。
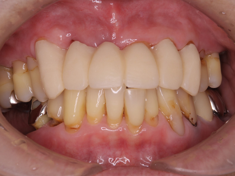
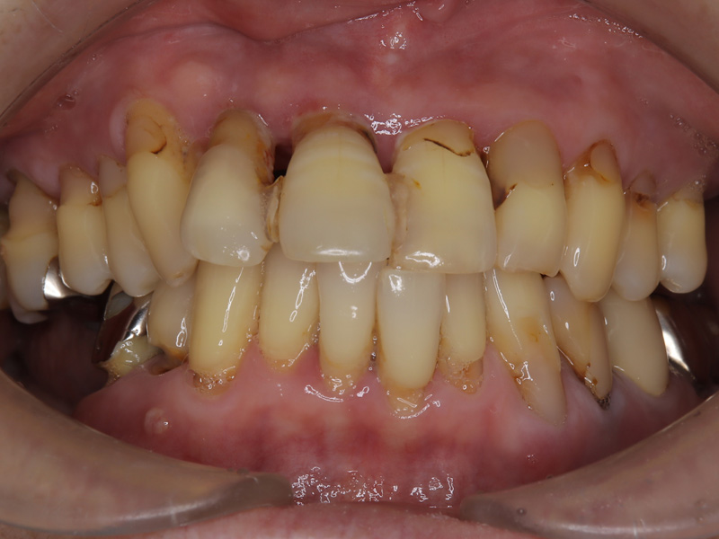
「重度の歯周病」と診断された50代女性が、検査結果をもとに”前向きな行動”へと進めたケース
数年前から歯ぐきの出血や口臭が気になりつつも、仕事と家事に追われて受診を後回しにしていた50代女性。
当院のカウンセリングを受けた際には、歯ぐきの腫れや退縮が確認でき、口臭測定とPCR検査では歯周病原因菌の数値はいずれも高い値を示していました。
マイクロスコープでの診断により、複数箇所で6mm以上の深い歯周ポケット、歯槽骨の吸収や歯のぐらつきも確認され、できるだけ早くケアを始めることが望ましい段階でした。
ご本人の認識と実際の進行度の差に驚かれていましたが、『今の状態がわかったことで、何をすべきか見えた』と前向きに受け止めてくださいました。
結果として、歯周病集中治療に加え、深いポケットに対するSRP(スケーリング・ルートプレーニング)を実施。ホームケアの徹底的な見直しも進めていきました。治療計画はご本人の希望とペースを尊重しながら、一緒に組み立てていきました。
「話だけでも大丈夫?」→ はい、もちろんです

「本当に行ってもいいのか不安…」
「治療をすすめられて、断れなかったらどうしよう」
そんな気持ちがあるのは当然です。
当院のカウンセリングは、“今すぐ治療を始めるため”のものではありません。
まずは、あなたのお口の状態をしっかりと把握し、納得のいく情報を手に入れていただくことが目的です。
実際、カウンセリング後すぐに治療を始める方もいれば、家族と相談して数週間後にご連絡くださる方、まずはホームケアを見直す方など、選択はさまざまです。
「無理に勧められる」「その場で決めなきゃいけない」ことは一切ありません。
“話を聞くだけでも意味がある”。その安心感で、一歩踏み出せたという方がたくさんいます。
あなたの歯は、まだ守れます。“今なら”

もしかすると、今日もまた「忙しいから…」と、後回しにしようとしていませんか?
けれど、歯周病は静かに、そして確実に進行していきます。一見なんともないように見えても、気づかぬうちに歯ぐきの奥で炎症が広がっているかもしれません。
大切なのは、「悪くなってから」ではなく「悪くなる前に」知ること。それができるのが、この90分のカウンセリングです。
今なら、歯を守れる選択肢があります。不安をそのままにせず、まずは“今の状態”を知ることから始めてみませんか?
もちろん、治療を受けるかどうかは、検査結果と説明を聞いたあとで決めていただけます。
あなたのタイミングで構いません。
ただ、未来を変えるチャンスは、“今”ここにあります。
歯を守る治療の“これから”を、誠実に届けたい。

歯周病治療センター古河(あおき矯正歯科併設)
院長/歯科医師 青木 英明(あおき ひであき)
【資格・所属団体】
・日本抗加齢医学会 専門医
・日本矯正歯科学会
・日本顎咬合学会
・茨城インプラント研究会
・日本健康医療学会
・日本歯科人間ドック学
歯科医師として、そして地域に根ざしたクリニックの院長として、これまで数多くの患者さんと向き合ってきました。
「もう抜くしかないと言われた」「本当にこの治療でいいのか分からない」──そう悩んで当院を訪ねてくださる方が、年々増えています。
私が治療で最も大切にしているのは、「自分の家族だったら、どうするか」という基準です。
まず今ある歯を最大限に活かす方法を探し、それでも難しいときに初めて次の手段を考える。この順序を、すべての患者さんに対して守り続けています。
歯周病治療もインプラントの相談も、入口は違っても、
目指すゴールは同じです。「自分の歯で、美味しく食べて、笑って暮らせる未来」を一緒につくること。
迷っているなら、まずはお話を聞かせてください。答えを押しつけることはしません。
あなたが納得して選べるよう、私たちが持っている知識と経験のすべてをお伝えします。
初回カウンセリングのご案内

- ご自身の歯が残せるかどうか相談したい。
- セカンドオピニオンが欲しい。
- いきなり高額な自費治療を受けるのは心の準備がいる。
など迷われているかもしれません。
そんなとき、まずはカウンセリングだけでも受けてみませんか。
当院のカウンセリングの流れをご紹介いたします。
現在の症状・ご持病・治療を受けるにあたり大切にされたい事をお伺いします。
受付から診療台へご案内いたします。

担当衛生士よりご記入頂いた問診表を参考に更に詳細なカウンセリングを行います。
- 主訴の確認(今ある不安の聞き取り)
- 口腔ケアや歯科への通院履歴
- これまでの歯科への不満や心配な事、分からないこと
- 今後どのようにしたいか(ご本人のご希望)
口臭には大きく分けて3つの原因があります。この検査で原因を突き止め適切な口臭治療のご提案をします。
歯の状態、歯肉の状態を視覚的に把握しホームケアの注意すべき箇所などを把握します。
見えない箇所の歯周病やむし歯の有無、度合いを確認します。
骨の吸収度合い=歯周病の進行度合いをチェックします。
近年歯を失う原因で増えているのが咬合(かみ合わせ)です。
咬合を確認し、かみ合わせや食いしばりのチェックをします。
高精度の顕微鏡を用いて現在の口腔内の歯周病菌の種類を確認します。
プラーク内のPg菌の量を調べます。
12.5倍の歯科専用マイクロスコープで診断をします。虫歯や歯肉の状態を拡大して目にすることで現状が更に詳しく分かります。

専用のゴーグルで患者さんも一緒に見ながら確認する事ができます。
「検査結果の総括」をふまえて、当院で治療する場合の今後の治療計画のご相談をします。
STEP1~10を踏まえた上で「どのような治療・ホームケアが望ましいか」患者さんのご要望をお伺いしながら、当院が最も歯を長持ちさせられると判断した治療について説明します。
カウンセリングを受けたからと言って治療を受けなければいけないわけではありません。無理におすすめする事はございません。
ご検討する方もいらっしゃいますし、タイミングを見る方もいらっしゃいます。
カウンセリング料金 10450円(税込)
(内訳:カウンセリング料9900円+滅菌費550円)
※カウンセリング全体のお時間は90分程度かかります。
歯周病治療3週間集中プログラムの症例一覧




FAQ よくある質問
- 本当に抜かずに済むんですか?
-
100%残せると断言はできません。
ただし、抜歯以外の選択肢をきちんと見極めるための“精密な治療と診断”を受けることが、このプログラムの価値です。
抜歯を前提にせず、「残せる可能性」を探る最善の手段として、多くの方が選ばれています。 - 3週間という短期間で本当に変化があるのでしょうか?
-
この治療は一般的なクリーニングとは異なり、歯周ポケットの深部にまでアプローチします。
初回から出血や腫れが和らぎ、3回目あたりには「歯がしっかりしてきた」「噛めるようになった」と変化を感じる方が多いです。
短期間でも、内容の濃い治療だからこその成果です。 - それでも歯を抜くことになったら、お金がムダになりませんか?
-
そのお気持ち、よくわかります。
でも、この治療は単なる“延命処置”ではなく、「今の歯が残せるのか?」を見極める意味でも非常に価値があります。
仮に抜歯が必要になっても、納得した上での判断ができることで、後悔が残らない選択になります。 - 他の医院ではインプラントを勧められたのですが、こちらでも勧められますか?
-
当院ではまず、できる限り“自分の歯を残す”治療を最優先に考えます。
インプラントや入れ歯を無理に勧めることはありません。
あなたの希望と状態に寄り添いながら、ベストな選択肢を一緒に考えていきます。 - 知覚過敏が出ると聞いて不安です…
-
はい、一時的に知覚過敏が出る方もいらっしゃいます。
しかしこれは、歯周病による炎症が引き、歯ぐきが引き締まり始めているサインでもあります。
ほとんどの方は数日〜1週間程度で症状が落ち着き、その後は噛み心地の良さや快適さを実感されています。 - 自由診療で330000円は高い気がします
-
確かに安い金額ではありません。
しかし、インプラント1本の費用や、抜歯によるその後の治療・再通院を考えると、今の歯を残すためにかける価値のある投資と考える方がほとんどです。
「これで残せるなら安い」との声も多くいただいています。 - 治療を受けられる日程が限られているのですが…
-
週2回の来院を基本としていますが、個別にスケジュール調整も可能です。
ご自身のライフスタイルやお仕事に合わせて、無理なく治療に取り組めるよう配慮いたします。お気軽にご相談ください。
「時間がないけど、本気で歯を守りたい」——そんな方にこそ選ばれている治療法です。
歯周病治療センター古河(あおき矯正歯科併設)

住所:〒306-0204 茨城県古河市下大野2008-8
最寄駅:JR古河駅
最寄バス停:久能・総和郵便局前
診療時間:9:00-12:30 14:30-18:00
※休診日:水曜・日曜・祝日
※一人ひとりの患者さんを綿密に診査・診断するために、当院は完全予約制です。ご予約はweb予約フォームまたはお電話からお願い致します。
TEL:0280-91-1180

