歯周病治療3週間集中プログラムの症例紹介 20代女性 A様

歯周病治療3週間集中プログラムの症例紹介 20代女性 A様のケースをご紹介いたします。
歯磨きの時に歯ぐきから出血することに不安を感じられていましたが、歯周病治療3週間後、歯ぐきの赤みが落ち着き、歯磨き時の出血もおさまりハリが戻りました。




| 治療内容 | 歯周病治療3週間集中プログラム(THPアドバンス) ・初回:THPアドバンス1時間 ・2~5回目:SRP ・6回目:プロービング説明 |
| 費用 | 330000円(税込)※自由診療になります。 |
| 治療期間 | 治療期間:3週間 来院回数:6回 |
| リスク・副作用等 | 知覚過敏の可能性・歯茎の退縮※個人差があります |
目次
主訴
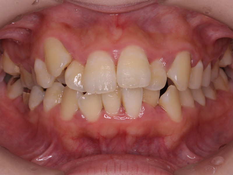
Aさん(20代女性・会社員)は、歯磨きの時に歯ぐきから出血することに不安を感じていました。
以前、他院での歯石除去が痛かった事と抜歯で辛い思いをした事があり、「どの歯医者に行けば良いのかわからない」と迷っている時に、ご親戚が通っている当院の話を聞き受診する事を決意されました。
初診
初診では、歯周炎と歯周ポケット(4~5mm程度)が確認され、歯周病の中期症状と診断されました。
Aさんは「このまま放っておけない」と最善の治療を希望され、歯周病治療3週間集中プログラム(THPアドバンス)を受けることになりました。
歯周病治療プラン
初回はだ液検査や歯周ポケット検査、型取りにホームケアの説明など2時間、2〜5回目はスケーリング・ルートプレーニング(SRP)で丁寧にプラークや歯石を除去し、6回目にはプロービングによる再検査と口腔状態の説明を受けました。
歯周病治療後
歯周病治療3週間後、歯ぐきの赤みが落ち着き、歯磨き時の出血もおさまりハリが戻りました。
定期メインテナンス
現在は朝晩の丁寧な歯磨きと毎日1回のデンタルフロス使用を習慣化し、口腔内の状態に併せて約3ヶ月に1度のプロによる定期メインテナンスを継続中。健康な歯を守るために口腔ケアに取り組まれています。
歯周病治療3週間集中プログラムの症例一覧
あわせて読みたい


歯周病治療3週間集中プログラムの症例紹介 70代女性 S様
歯周病治療3週間集中プログラムの症例紹介 70代女性 S様のケースをご紹介いたします。 歯周病治療3週間後、再評価すると歯肉の発赤や腫れは改善され、ポケットの深さは…
あわせて読みたい


歯周病治療3週間集中プログラムの症例紹介 60代男性 T様
歯周病治療3週間集中プログラムの症例紹介 60代男性 T様のケースをご紹介いたします。 治療1カ月後は、腫れや出血が消え、ポケット深さも3〜4mmに改善。就寝時に口の中…
あわせて読みたい


歯周病治療3週間集中プログラムの症例紹介 30代女性 N様
歯周病治療3週間集中プログラムの症例紹介 30代女性 N様のケースをご紹介いたします。 3週間後の再評価では、歯肉の発赤が明らかに改善し、腫れも引いてポケット深さは2…
あわせて読みたい


歯周病治療3週間集中プログラムの症例紹介 20代女性 A様
歯周病治療3週間集中プログラムの症例紹介 20代女性 A様のケースをご紹介いたします。 歯磨きの時に歯ぐきから出血することに不安を感じられていましたが、歯周病治療3…


