歯周病治療3週間集中プログラムの症例紹介 60代男性 T様

歯周病治療3週間集中プログラムの症例紹介 60代男性 T様のケースをご紹介いたします。
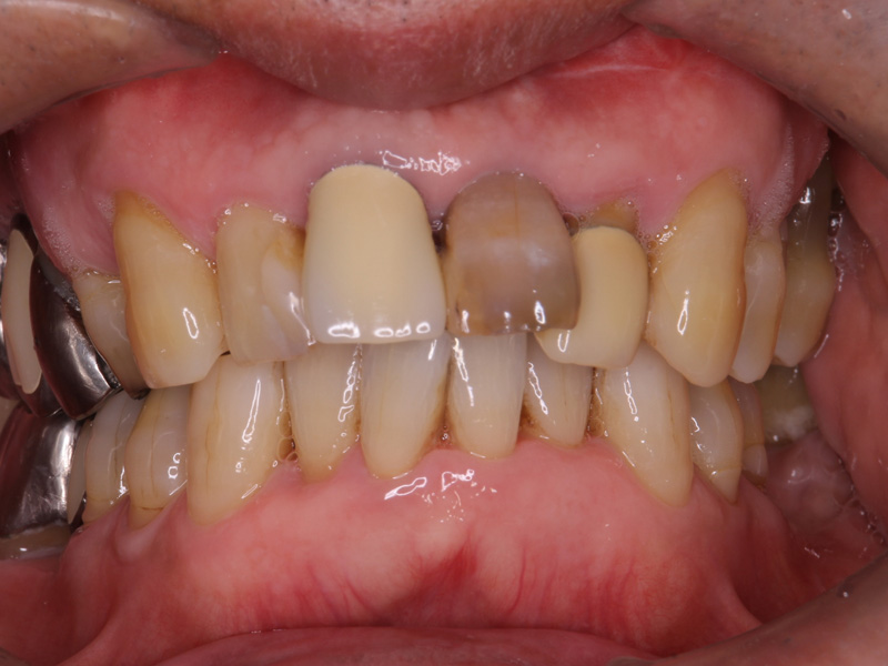
治療1カ月後は、腫れや出血が消え、ポケット深さも3〜4mmに改善。就寝時に口の中が気持ち悪くて起きてしまう事もなくなりました。










| 治療内容 | 歯周病治療3週間集中プログラム(THPアドバンス) ・初回:THPアドバンス1時間 ・2~4回目:SRP ・5回目:プロービング説明 |
| 費用 | 330000円(税込)※自由診療になります。 |
| 治療期間 | 治療期間:1カ月 来院回数:5回 |
| リスク・副作用等 | 知覚過敏の可能性・歯茎の退縮※個人差があります |
目次
主訴
Tさん(60代男性・自営業)は、数年前から一本義歯を使用していたのですが、使用感にストレスを感じていました。
更に「就寝時に夜中に口の中が気持ち悪くて目が覚めてしまう」・「歯がグラつく感じがする」といった不快感もあり、「これ以上入れ歯を増やしたくない」という切実な想いもあって受診を決意されました。
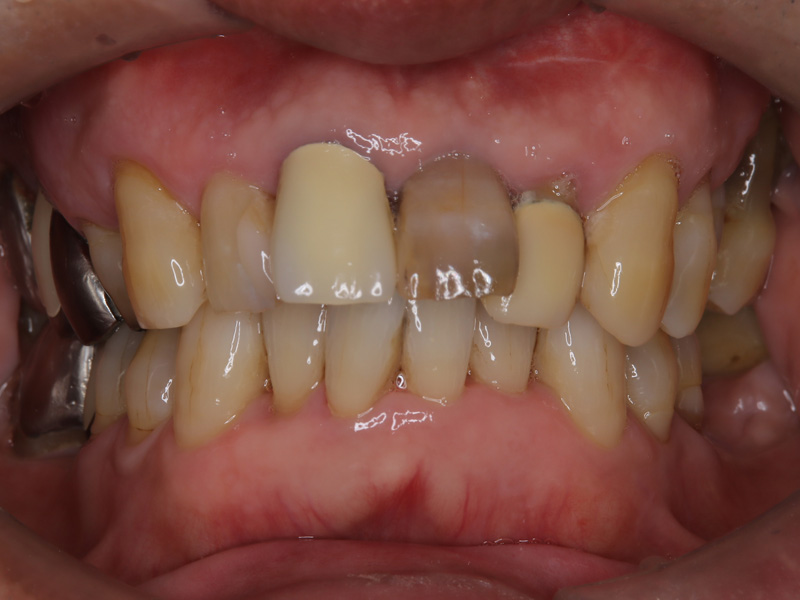
初診
診察の結果、歯肉の状態や歯周病PCR検査によって中等度〜重度の歯周病と診断。放置すれば歯を失う可能性もある状態でした。
Tさんは「今ある自分の歯を出来るだけ残しておきたい」と治療を決意され、3週間の集中ケアをスタート。
歯周病治療プラン
まず歯周ポケットの検査を実施し(深い所は10㎜を超える箇所もありました)、認定歯科衛生士によるスケーリング・ルートプレーニングで歯石や汚れを徹底除去し、歯ぐきの炎症を抑えました。
同時に、舌苔ブラシやフロスの正しい使い方を習得し、口腔内を正常化させるホームケアを習慣化していきました。
歯周病治療後
治療後は、腫れや出血が消え、ポケット深さも3〜4mmに改善。就寝時に口の中が気持ち悪くておきてしまう事もなくなりました。
定期メインテナンス
現在は約3ヶ月に1度の定期メインテナンスで、歯周病の再発防止に努めています。
気になる一本義歯もブリッジに変更する事で日常のストレスが大幅に軽減し、自分の歯で食べる喜びを大切に、セルフケアに意欲的に取り組まれています。
歯周病治療3週間集中プログラムの症例一覧
あわせて読みたい


歯周病治療3週間集中プログラムの症例紹介 70代女性 S様
歯周病治療3週間集中プログラムの症例紹介 70代女性 S様のケースをご紹介いたします。 歯周病治療3週間後、再評価すると歯肉の発赤や腫れは改善され、ポケットの深さは…
あわせて読みたい


歯周病治療3週間集中プログラムの症例紹介 60代男性 T様
歯周病治療3週間集中プログラムの症例紹介 60代男性 T様のケースをご紹介いたします。 治療1カ月後は、腫れや出血が消え、ポケット深さも3〜4mmに改善。就寝時に口の中…
あわせて読みたい


歯周病治療3週間集中プログラムの症例紹介 30代女性 N様
歯周病治療3週間集中プログラムの症例紹介 30代女性 N様のケースをご紹介いたします。 3週間後の再評価では、歯肉の発赤が明らかに改善し、腫れも引いてポケット深さは2…
あわせて読みたい


歯周病治療3週間集中プログラムの症例紹介 20代女性 A様
歯周病治療3週間集中プログラムの症例紹介 20代女性 A様のケースをご紹介いたします。 歯磨きの時に歯ぐきから出血することに不安を感じられていましたが、歯周病治療3…


